あなた史上最高の
笑顔に導く
6ヶ月で終われるマウスピース矯正
※IGOの場合
月々6,300円から始められる


無料
カウンセリング


| 診療時間 | 月 | 火 | 水 | 木 | 金 | 土 |
|---|---|---|---|---|---|---|
| 08:30~12:30 | ||||||
| 14:00~18:00 |
休診日…年末年始・お盆・GW(稀に特別休診日あり)
このようなお悩みで
矯正治療を
諦めていませんか?
!
周りに気付かれずに矯正したい
矯正したいけど痛みがないか不安
装置が目立つのは恥ずかしい
矯正は費用が高くて不安
矯正はしたいけど
頻繁に通院するのは面倒
矯正は治療期間が長そう
矯正装置があると食事制限
があるって聞いて不安


一之江駅前イルニード総合歯科・矯正歯科グループ
マウスピース型
矯正歯科装置
インビザライン
をご検討ください!


インビザラインでこれらの
歯並びの治療が
可能です
-

ガタガタ
デコボコ -

前歯が
出ている -

下顎が
出ている -

すきっ歯
-

噛み合わせ
のずれ -

噛み合わせ
が深い -

前歯が噛み
合わない
インビザラインの特徴
当院で取り扱うマウスピース治療
「インビザライン」をご紹介します。


-
目立ちにくいデザイン
透明なマウスピースだから装着中もほとんど気付かれず、接客や写真撮影の場面でもストレスがありません。

-
費用は従来の半分〜1/4
ワイヤー矯正の相場(約100万円前後)に対し、40〜90万円ほどで始められるケースが多く、家計に優しい選択肢です。
※症例により前後します
-
短期間で終了
従来2年以上かかることが多い歯列矯正も、独自の3Dプランニングで最短6〜12ヶ月で完了。開始前に仕上がりをシミュレーションできます。

-
取り外して清潔をキープ
食事や歯磨き時に簡単に外せるため、プラークが溜まりにくく毎日のケアがラクに。
むし歯リスクを抑えながら治療できます。
-
食事もおしゃれも自由に
装置に食べ物が挟まる心配がなく、外していつもの料理を楽しめます。
メイクや口紅への影響もありません。
-
世界シェアNo.1の安心感
当院採用の「Invisalign(インビザライン)」は、
世界約2000万人以上(2025年時点)の装着実績を持つ矯正システム。
万一の追加治療にも対応するメーカー保証付きです。

イルニード歯科の3つの
インビザライン
治療の提案
-
インビザライン
ゴー軽度な歯列不正に。前歯部分の矯正治療
前歯のガタガタやすきっ歯など軽度の歯列不正に対し、20枚のマウスピースをとりかえながら、約6ヶ月程度治療を行います。

-

軽〜中度の歯列不正向け。
奥歯以外の歯並びを治す矯正治療歯が部分的に重なっている状態、すきっ歯、噛み合わせの悪さなど、軽度〜中度の歯列不正に対応するマウスピース矯正です。
インビザライン
モデレート -
インビザライン
フルマウスピースの枚数制限なし。
噛み合わせを改善する矯正治療インビザラインで治療可能な全ての症例にでも対応が可能で、治療計画を柔軟に対応できるマウスピース矯正です。
ワイヤー矯正と併用可能です。
-
インビザライン
ゴー
軽度な歯列不正に。
前歯部分の矯正治療前歯のガタガタやすきっ歯など軽度の歯列不正に対し、20枚のマウスピースをとりかえながら、約6ヶ月程度治療を行います。
-

インビザライン
モデレート軽〜中度の歯列不正向け。
奥歯以外の歯並びを治す矯正治療歯が部分的に重なっている状態、すきっ歯、噛み合わせの悪さなど、軽度〜中度の歯列不正に対応するマウスピース矯正です。
-
インビザライン
フル
マウスピースの枚数制限なし。
噛み合わせを改善する矯正治療インビザラインで治療可能な全ての症例にでも対応が可能で、治療計画を柔軟に対応できるマウスピース矯正です。
ワイヤー矯正と併用可能です。

料金のご案内
追加料金なしで安心で
治療前に総額がわかる
“トータルフィー制”
矯正相談 無料
診断・クリンチェック作成 33,000円(税込)
-
go

インビザライン/ゴー
前歯の軽度の歯列不正治療
44万円(税込)
-
moderate

インビザライン/モデレート
主に軽度〜中度程度の
歯列不正治療66万円(税込)
-
full

インビザライン/フル
噛み合わせ改善も含めマウスピースの
制限なしに行う矯正治療99万円(税込)
※ワイヤー治療とのミックスも可能
調整料金 5,500円
リテーナー費用
1セット22,000円/3セット66,000円(税込)
| インビザライン ゴー |
モデレート | フル | |
|---|---|---|---|
| 期間 | 3ヶ月〜 9ヶ月 |
6ヶ月〜 15ヶ月 |
15ヶ月〜 3年 |
| 追加アライナー | 1年間は 1回無料 |
2年間 2回無料 |
5年間 原則無制限 |
| 最大交換枚数 | 最大40枚 | 最大78枚 | 5年間 原則無制限 |


イルニード歯科が
選ばれる理由
-
01負担の少ない
3D口腔内スキャナー当院では、i-Teroという3D口腔内スキャナーを完備しています。
スキャナーがない場合は、印象材という粘土のようなものを口に入れて歯型を採っていましたが、その際に嘔吐反応を起こしてしまう患者さんも多く、負担がかかってしまっていました。3D口腔内スキャナーはお口の中を機械でスキャンしていくだけで歯型が採れますので、患者さんの負担がほとんどありません。

さらに
高精度な型取りができる

事前にシミュレーションできる


あらかじめどのように歯が並ぶかシミレーションができます。
治療終了後のイメージがつくこと、また、どのように歯並びが変化するかもみることができます。
シミレーション結果を見た後に「もう少し前に歯をだしたい」などのご要望も叶えることができます。 -
02日本矯正歯科学会
認定医が監修当院の、日本矯正歯科学会認定医が監修します。
他の医院で断られたケースでも、当院では対応できる場合がございます。
矯正以外にも、お口のことでお悩みがございましたら、ぜひ当院までご相談ください。
成人矯正はこちら
-
03患者様のために
わかりやすいカウンセリング
矯正治療を開始する前は、歯科医師とよくご相談のうえご選択いただくのがオススメです。
当院では、患者様の状況をしっかりと把握したうえで、理想的な歯並びを手に入れられるお手伝いをさせていただきます。 -
04総合歯科医院のため
虫歯、
歯周病治療予防も
同時にできる当医院は矯正専門歯科医院ではないため、虫歯予防歯周病予防処置も同時に行うことができます。クリーニングも同日にできます。
他の治療はよその歯科医院にいってくださいということはありえません。
すべて一元化できます。

イルニード総合歯科とは
-
土曜日、日曜、祝日も開院しているため、
お好きな時間に通院可能です。
05土日・祝日も開院
土曜日、日曜、祝日も開院しているため、お好きな時間に通院可能です。
-

お子さんの歯並びにも対応いたします。
お子さんの矯正はこちら
矯正装置の比較
矯正装置は、一般的なワイヤー矯正(表側矯正)や、装置が目立たないように裏側にブラケットをつける裏側矯正、またはマウスピースを使用して矯正をするマウスピース型矯正装置(インビザライン)、歯の一部分を矯正する部分矯正など、様々な種類があります。それらの違いが一目でわかるよう、矯正方法のメリット・デメリットを比較してみました。
|
マウスピース型 矯正装置 (インビザライン) ![]() |
ワイヤー矯正 (表側矯正) ![]() |
裏側矯正
![]() |
|
|---|---|---|---|
| 目立ち にくさ |
![]() ピース なので 目立ちにくい |
![]() 目立つ |
![]() するので 目立ちにくい |
| 取り外し |
![]() |
![]() |
![]() |
| 歯磨き |
![]() 歯磨きできる |
![]() 詰まりやすい |
![]() 詰まりやすい |
| 痛み |
![]() 違和感も すぐ慣れる |
![]() すぐは痛みを 感じやすい |
![]() すぐは痛みを 感じやすい |
| 治療費 | 44万〜99万円 | 1,100,000円 | 1,450,000円 |
マウスピース矯正治療の流れ
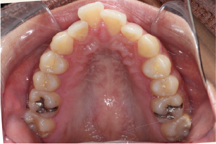
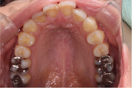
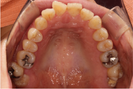
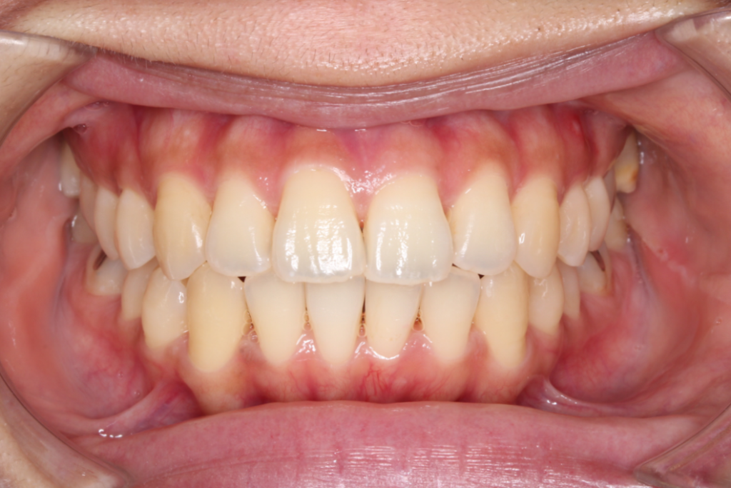
症例集
前歯のみを矯正できる
インビザラインゴー
前歯のみを矯正できる
インビザラインゴー
前歯だけ歯並びを整えたい方のためにインビザラインゴーという治療法をご用意。
治療部位を前歯に絞って歯を整えるマウスピース型の部分矯正で、治療にかかる時間と費用を抑えることができるため矯正を始めやすいです。歯並びの状態に
-

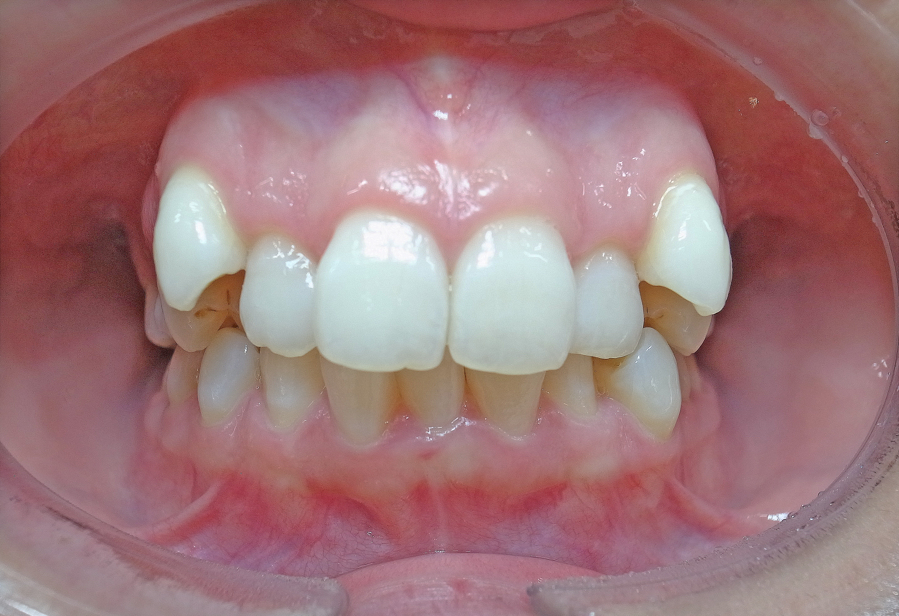
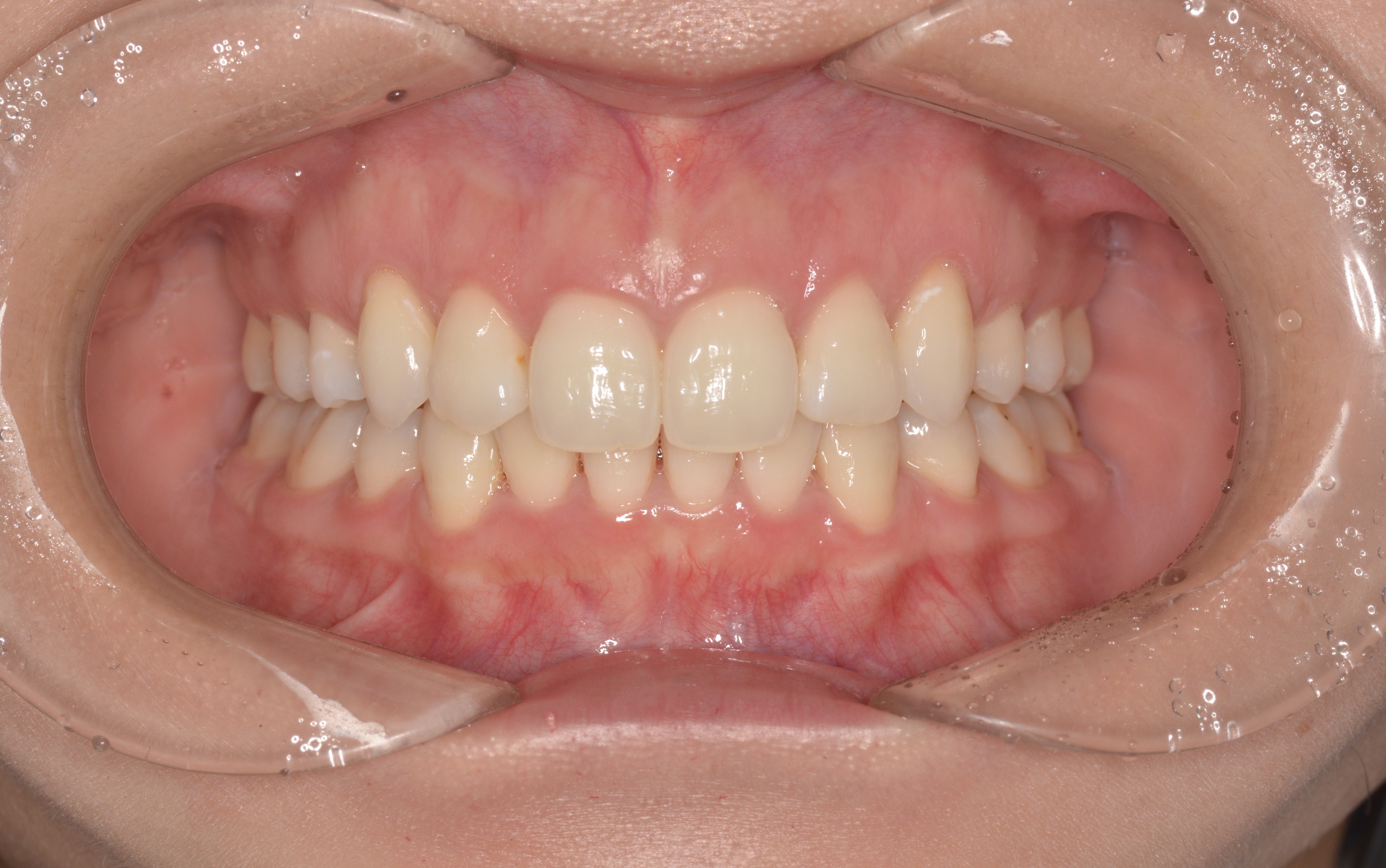
症例 30代 女性
-

症例 40代 女性
-

症例 40代 女性
理事長・院長紹介

理事長兼統括院長
山内 大典
- 医療法人社団優典会 理事長
- 一之江駅前イルニード歯科 総合歯科・矯正歯科グループ 統括院長
- 歯科医師・歯学博士
- 公益社団法人日本口腔インプラント学会
専門医
詳細な
料金について


マウスピース型矯正
(インビザライン)

目立たない透明なマウスピース型矯正装着で治療を行ないます。型を取る回数が1回で済み、軽度から重度な症例に適応できます。取り外し可能です。
インビザラインGo 治療期間目安:約2~6ヶ月
軽度な前歯の歯列不正に対応できます
インビザラインモデレート 治療期間目安:約6ヶ月〜1年半
軽度から中等度な症例に適応できます。
インビザラインコンプリヘンシブ 治療期間目安:約1年~3年
中等度~重度な症例に適応できます。
※インビザラインコンプリヘンシブとワイヤー矯正はミックスして行うことができます。
- Go(前歯のみ)
- 440,000円
- モデレート
- 660,000円
- コンプリヘンシブ
- 990,000円~
- ワイヤー矯正とミックス
- +約330,000円
お支払い方法
-

現金
-

クレジット
カード -

デンタル
ローン
イルニード歯科では、
現金 / クレジットカード / デンタルローン
でのお支払いが可能です。
※振り込み分割払いのご相談も可能です。
デンタルローンでのお支払い例
月々6,300円で
始められます。
- ※初回のお支払いのみ13,504円となります。
- ※インビザラインゴーの治療費税込み44万円を84回の分割払いでお支払いいただく場合の例になります。
- ※表示金額は全て税込です。
- ※条件により金額が変わることがあります。
アプラスより事前確認の結果を、お電話にて連絡させていただきます。
(あくまで事前確認となりますので、実際には医院にて正式な合計費用を算出の上、お申し込みしていただく必要があります。)

医療費控除について
1月1日〜12月31日の1年間に10万円以上の医療費を支払った場合に、
一定の金額の所得控除を受けることができる制度を医療費控除といいます。
ご自身だけでなく、生計を共にする家族が支払った医療費も対象となります。
詳しくは、国税庁のホームページをご覧ください。
国税庁
美容にかかる平均費用





【歯列矯正】「長くみるほど賢い投資!?」
歯並びは、解消できるコンプレックスの1つです。 矯正治療は100万円前後が一般的ですが、20年換算でみると美容院145万円 エステ・マッサージ192万円 エクササイズ・ジムの費用196万円。 実は割安と言えるかもしれませんね。
よくあるご質問
-
痛みはないですか?
歯を包み込みながら動かすので、治療開始時や新しいマウスピースに変えた数日は歯が抑えられるような痛みがありますが、2〜3日で慣れることが多いようです。
当院のスタッフが実際にインビザライン治療を行っておりますので、興味がありましたら、ぜひお声かけください。 -
マウスピースだけで本当に歯が動くのですか?
症例により対応方法が異なりますが、歯を効率よく動かすためにアタッチメントという突起を付けたり、歯にゴムをかけて動かすケースもあります。
歯が動きづらい場合、一時的にブラケットやワイヤーを併用することがあります。 -
インターネットや本でみると、インビザラインをおこなっている歯科医院が
たくさんあるようですが、どこがいいのかわかりません、選べません。インビザラインをする医院を選ぶポイントは難しいですが、選ぶ要素は、名医、専門医、症例数、価格、など様々ですが、次にあげる項目も重要かと思います。
医院選びの参考にしてください。
・インビザラインだけでなく総合的に歯科治療を行える医院
インビザラインが適応になった場合も、その前に虫歯治療、予防処置、歯周病治療、予防処置がその前に必要です。クリーニングも必要です。矯正だけすればいいというわけではないはずです。またインビザライン中も、一日中マースピースをつけているので、厳重に虫歯、歯周病予防をする必要があります。
インビザラインだけやればいいという単純な話ではないということです。原因を取り除き、予防することが重要かと思います。総合的に治療が受けられる原因も考えられる医院がいいかと思います。
・自宅から近い
インビザラインの調整やメンテナンスに定期的に通う必要があります。家や職場などの生活圏から30分以内程度でないと長期的に考えると足がとおのく傾向にあると思います。ある程度近場がいいでしょう。
・担当医との相性がよい
最後は同じ人間が口の中に手をいれインビザライン治療をします。その後も長期にわたりメインテナンスのたび担当医と顔を合わせます。担当医または医院と長く付き合えるか、お口の中に手を入れられても不快ではないかなどの直感も重要です。「ここは合わない」と素直に思いましたら、名医や友人の紹介であっても、よく考える必要があるかもしれません。
・日本口矯正歯科学会が監修している
当院のインビザラインはクリーンチェックの時に矯正専門歯科医師のチェックを受けています。また安価なマースピース矯正会社は使わず、王道、シェア世界NO1のインビザラインを使用しております。 -
インビザライン治療に興味があるのですが、なかなか決心がつきません
初めての方は、みなさん気にされます。一度無料相談にいらしていただいたらどうでしょうか?具体的な治療方法を知ること、医院の雰囲気、担当ドクターの雰囲気も重要かともいます。
また、インビザライン治療は早くやらないと寿命が縮むような治療(癌の摘出手術等)ではありませんので、ゆっくりご検討ください。一度、虫歯のチェックやクリーニング等で来院され、医院の雰囲気、担当ドクターの雰囲気をチェックするのも手だと思います。
迷われている方の大多数は、「知らないこと」が原因の場合が多いと思われます。担当ドクター、スタッフにいろいろ相談し、情報をゲットしていくと、しだいに不安も解消されるかともいます。インビザライン治療は歯を抜いたりなどのリスクはほとんどありません、治療をうけたメリットと天秤にかけてご検討ください。
電話予約








メールでの無料相談はこちらから













