業者様専用お問い合わせ
患者様向けの連絡先からの業者様の営業電話は、大変申し訳ありませんが、医療サービス向上のため、すべて断りするようにしております。
業者様からのお問い合わせは、「業者様専用お問い合わせフォーム」をご利用くださいますと最短で事務長もしくは理事長と連絡が取り交渉することが可能ですので是非ご利用ください。
*返信には1日~10日ほどかかる場合がございます。
ご予約お問い合わせ

⼀之江駅前イルニード⻭科
本院
急患枠を設けておりますので
お電話にてご確認ください
簡単24時間
初診・再診予約OK


⼀之江駅前イルニード⻭科 EAST
イルニードキッズデンタル
急患枠を設けておりますので
お電話にてご確認ください
簡単24時間
初診・再診予約OK
はじめてご来院される方は、こちらをご覧ください。
ご予約お問い合わせ

⼀之江駅前イルニード⻭科
本院
急患枠を設けておりますので
お電話にてご確認ください
簡単24時間
初診・再診予約OK


⼀之江駅前イルニード⻭科 EAST
イルニードキッズデンタル
急患枠を設けておりますので
お電話にてご確認ください
簡単24時間
初診・再診予約OK
はじめてご来院される方は、こちらをご覧ください。
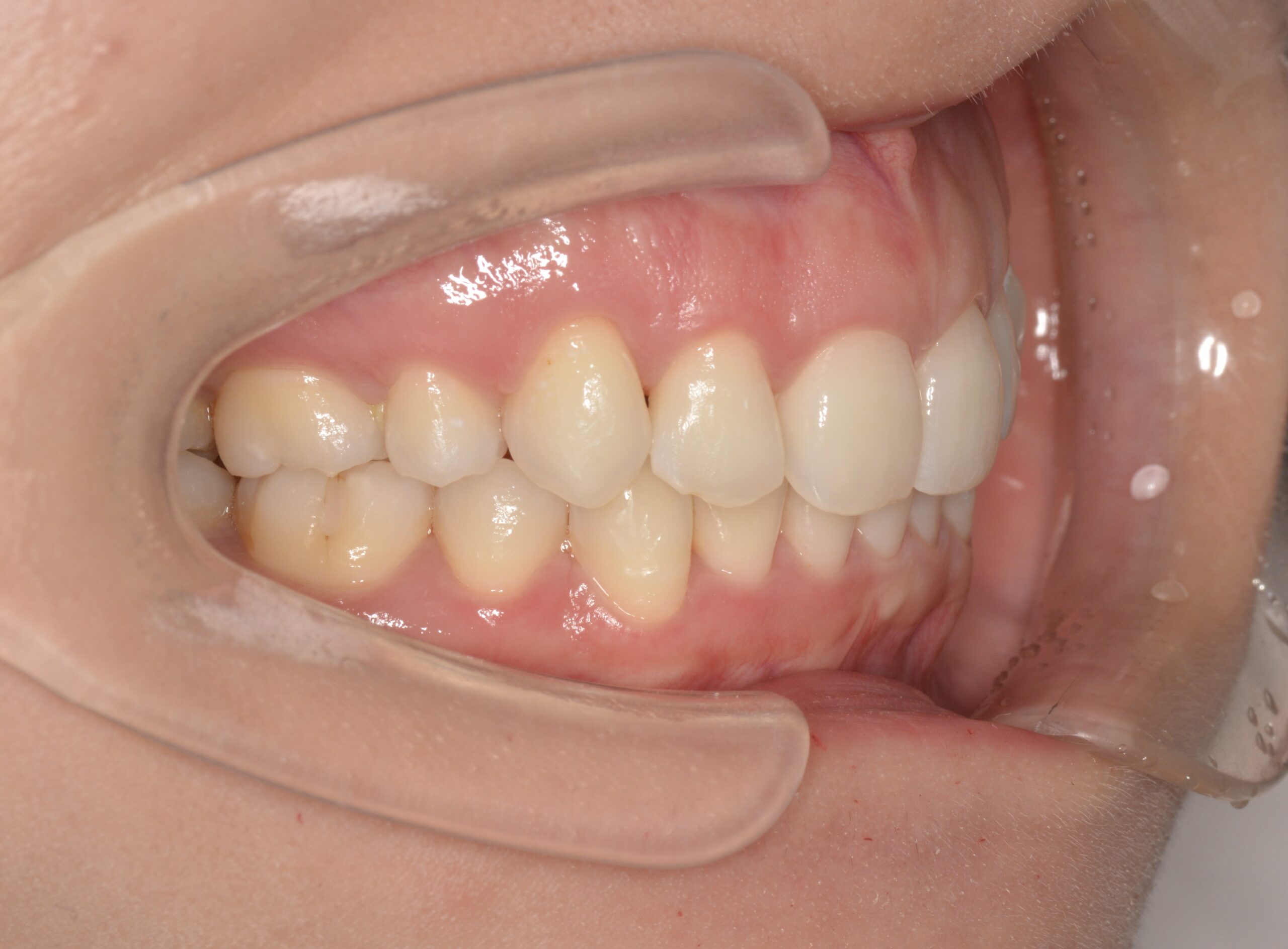
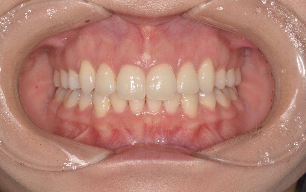
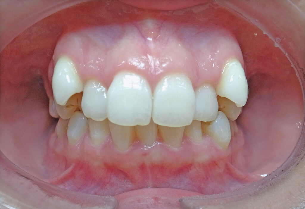
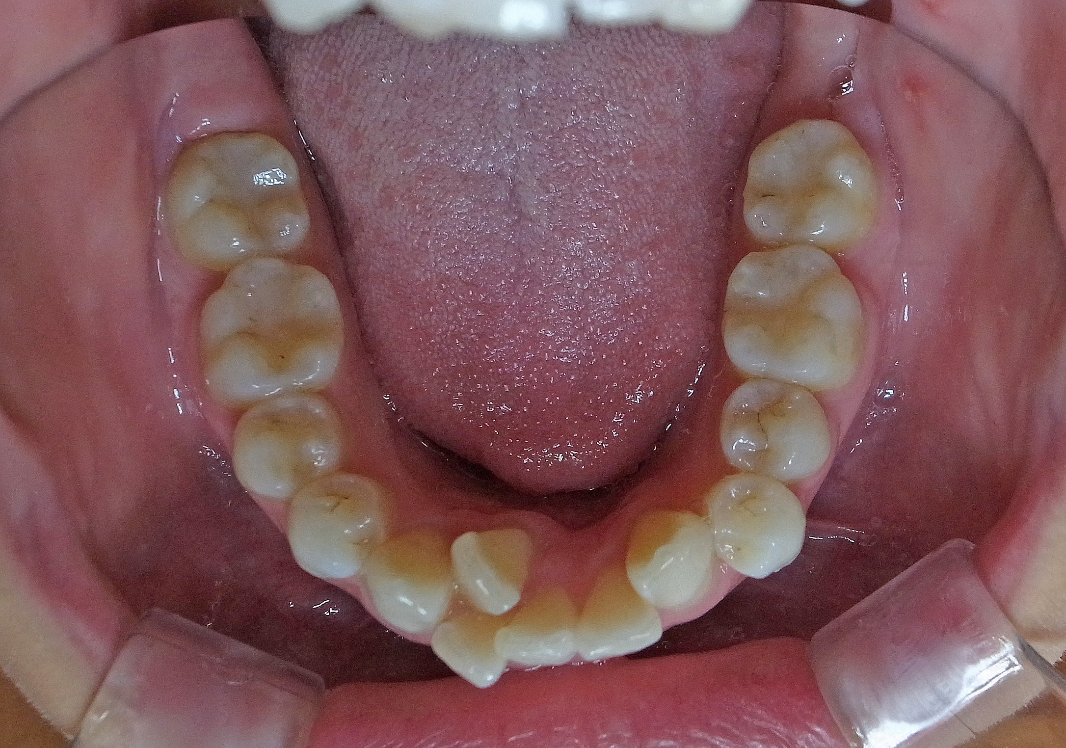
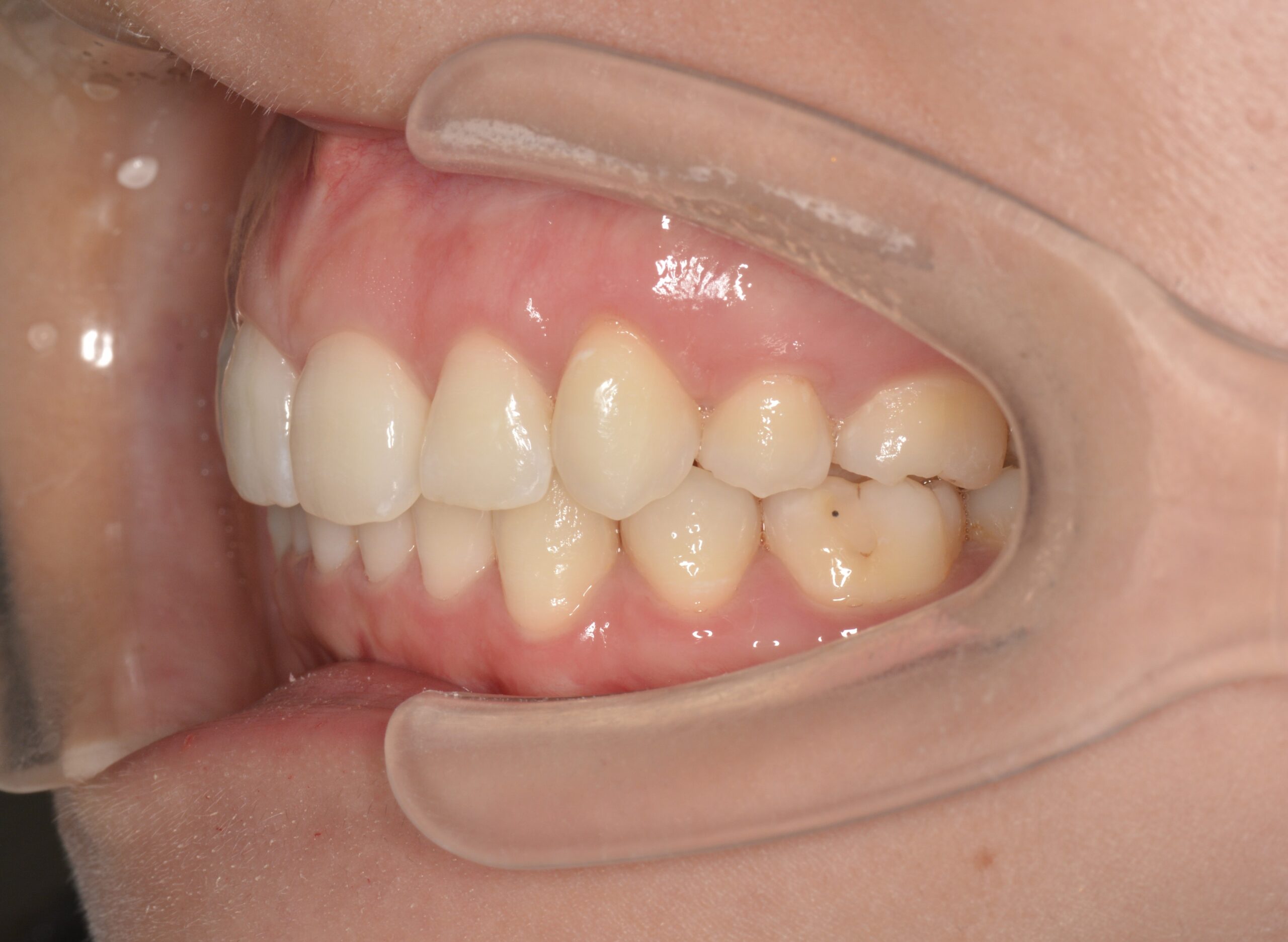
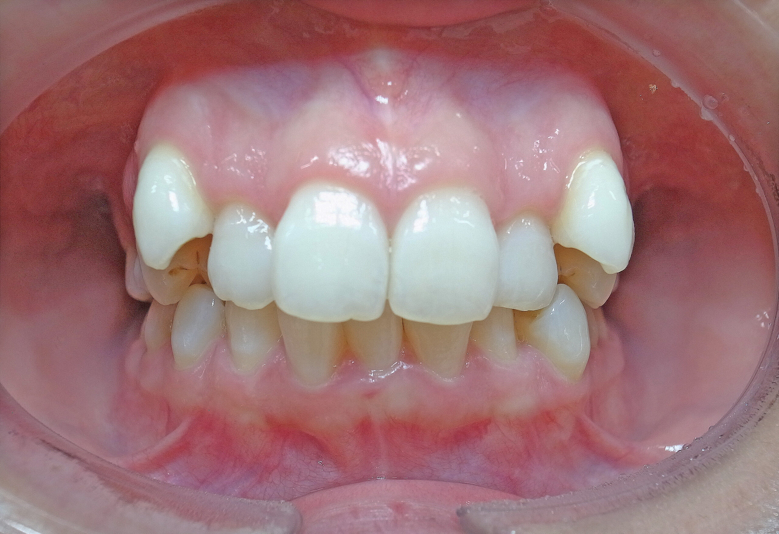
矯正歯科
しっかり向き合うため
理事長が直接対応

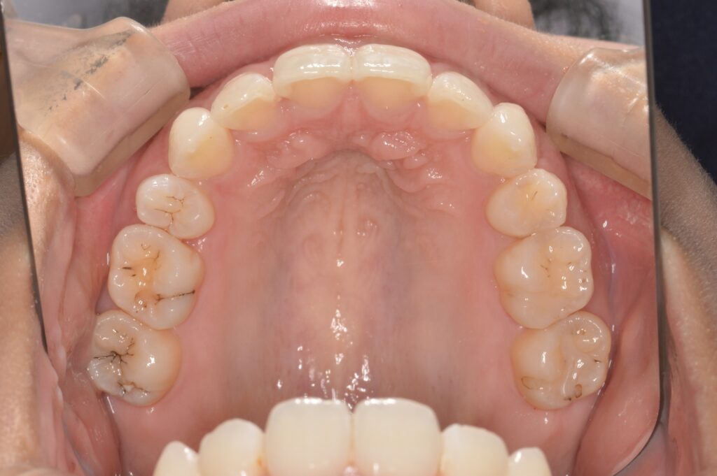
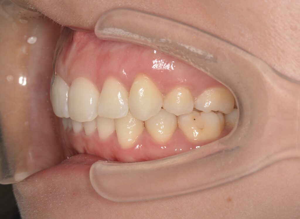
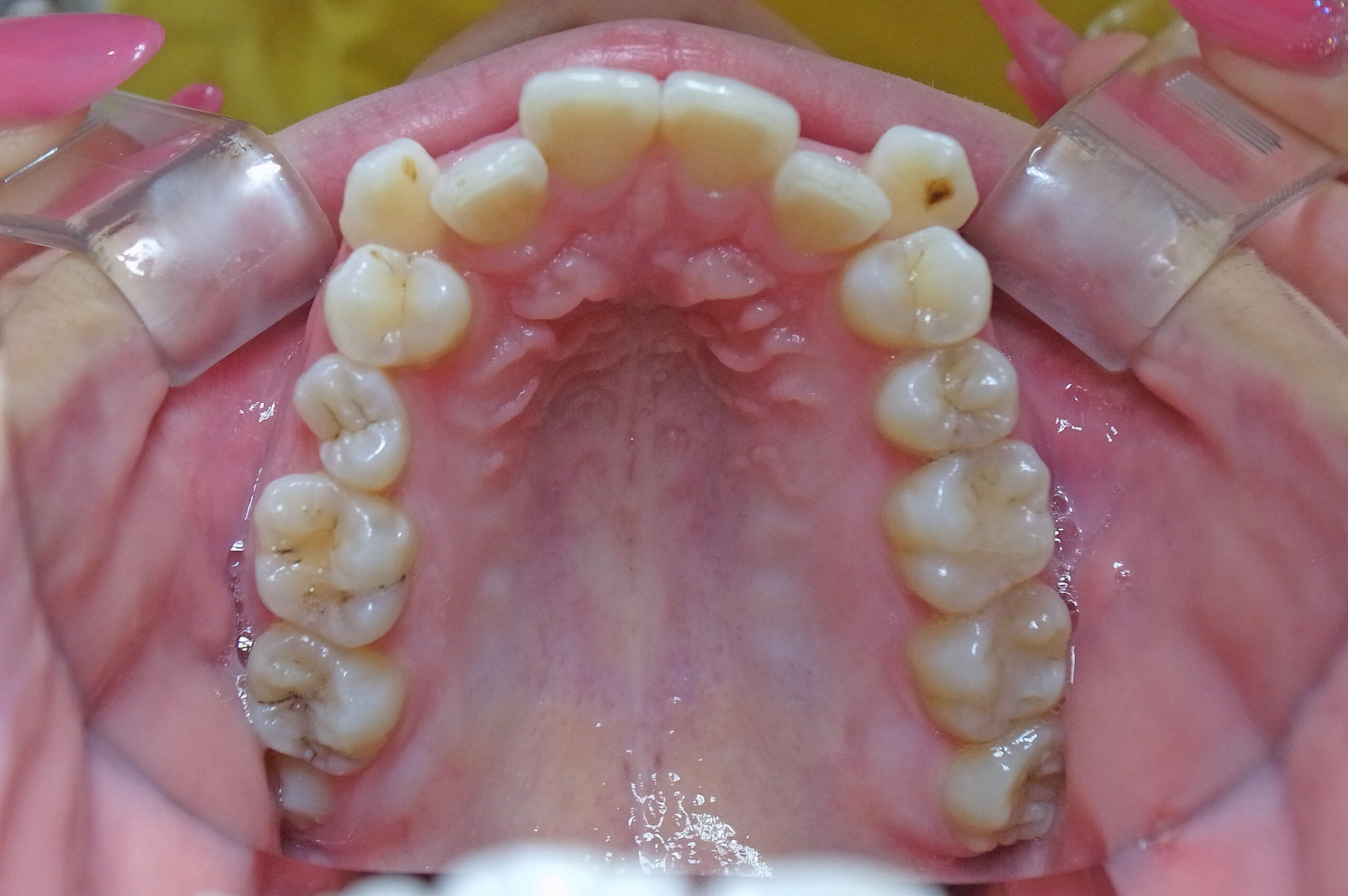
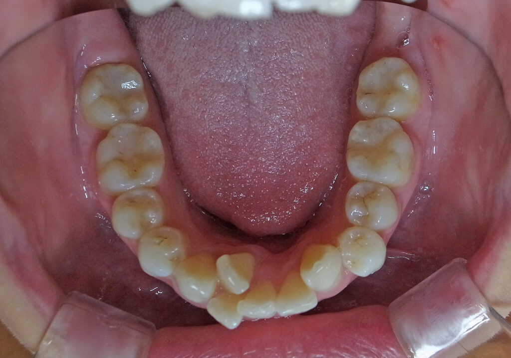
| 主訴 |
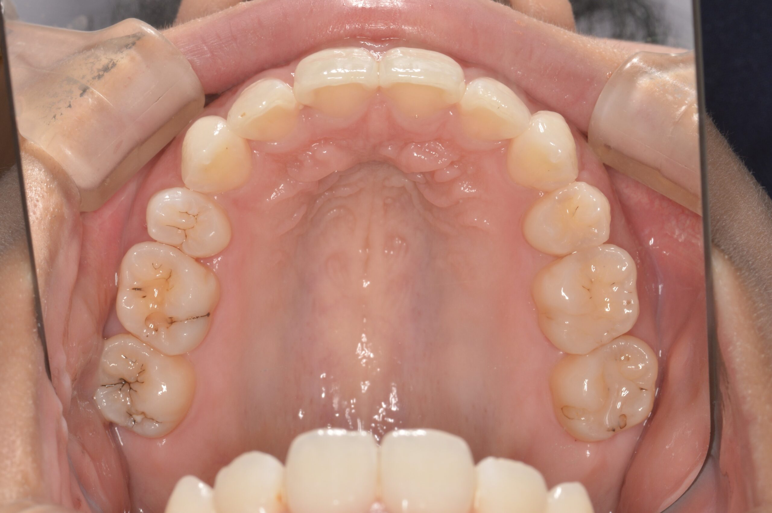
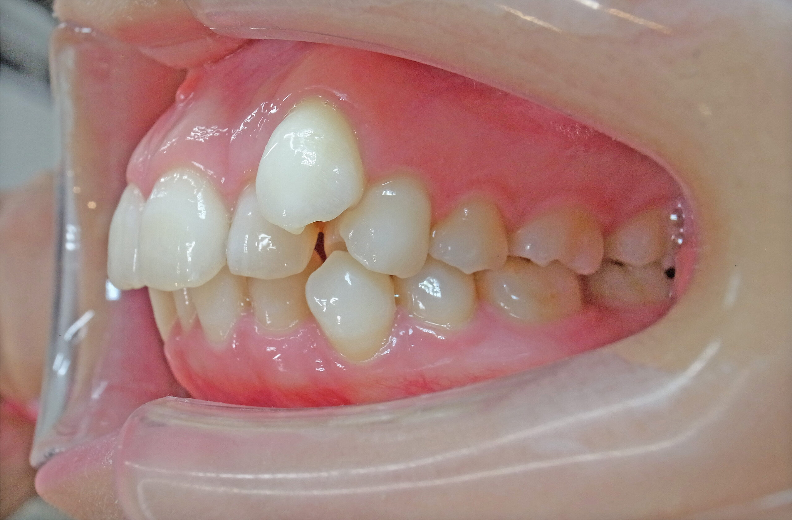
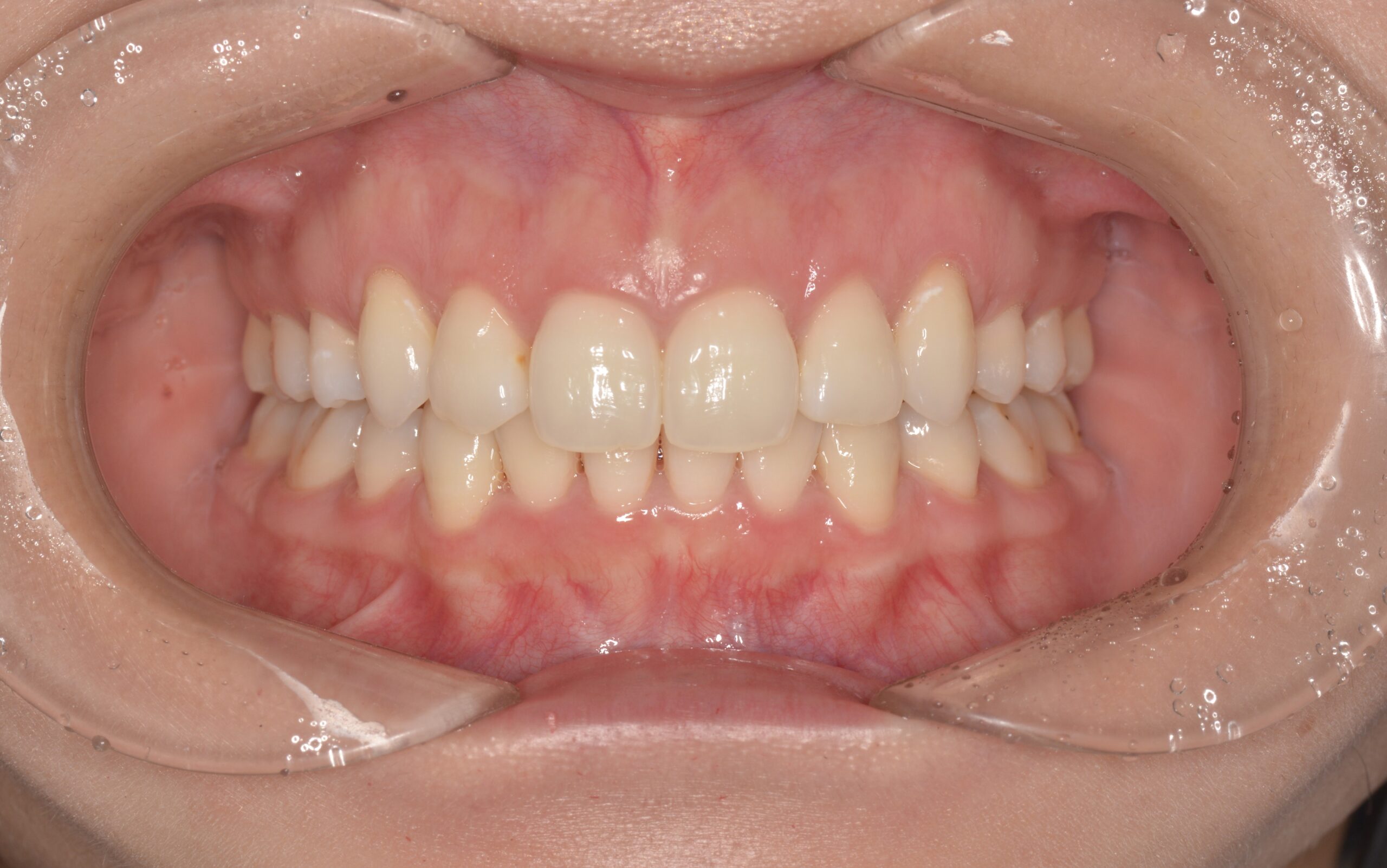
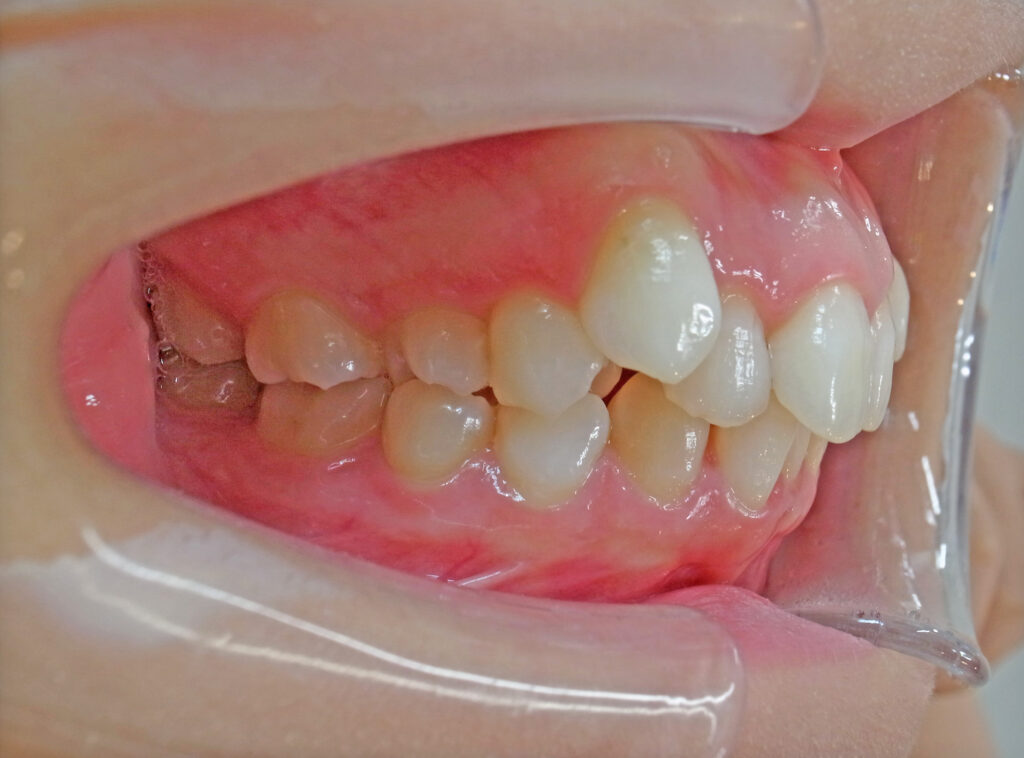
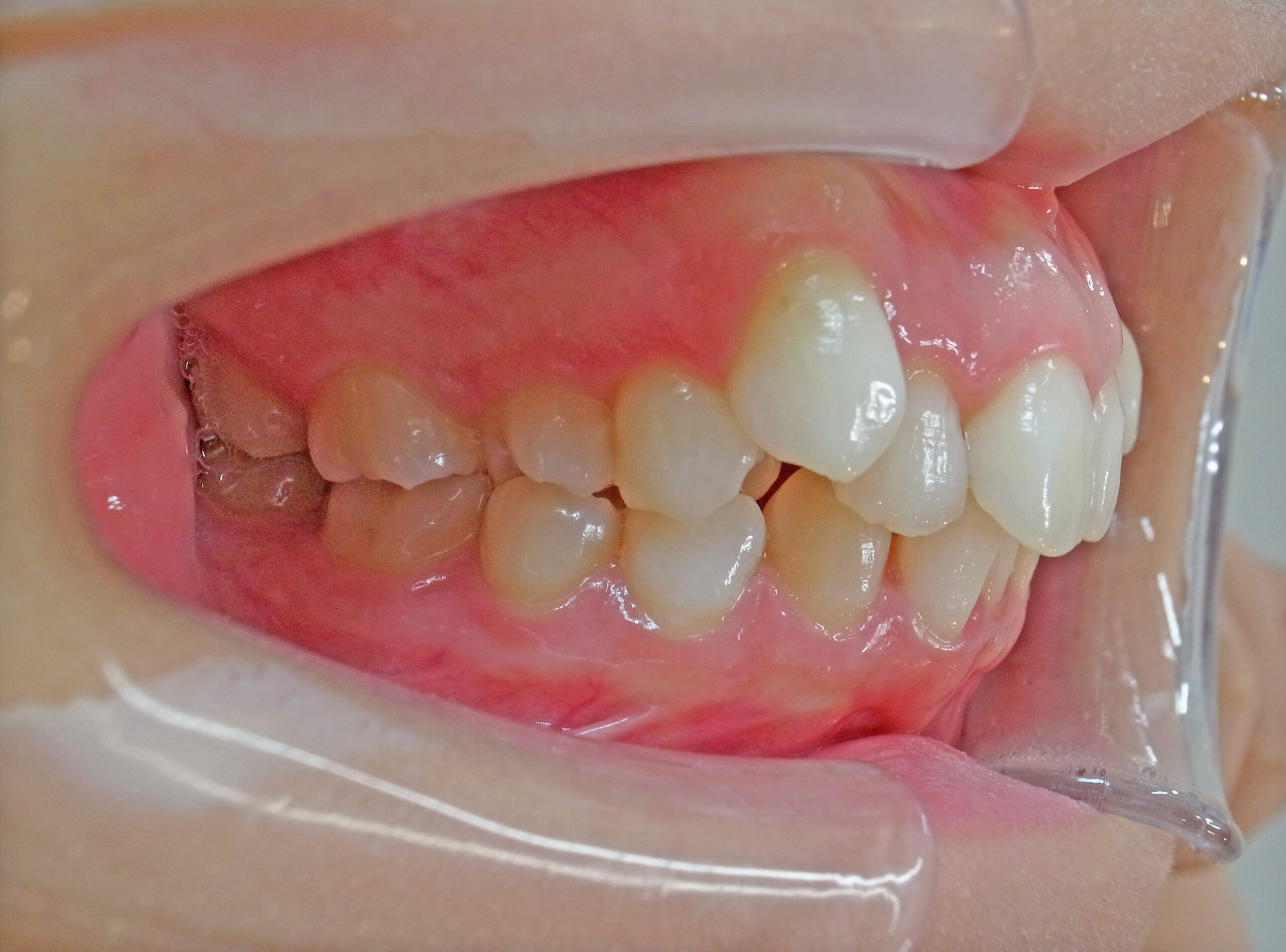
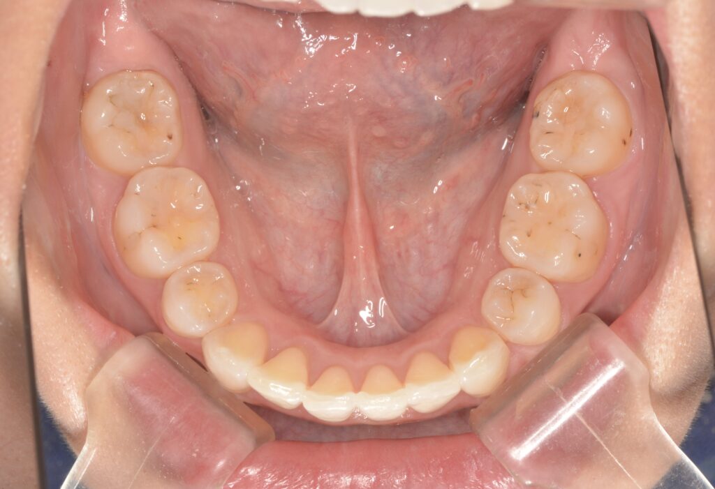
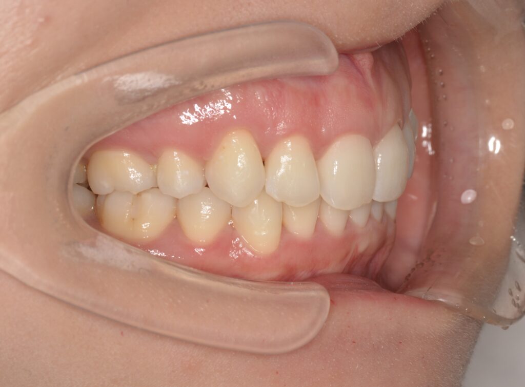
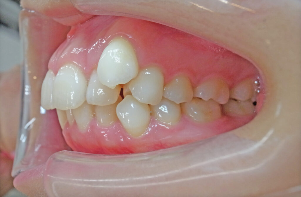
歯がきれいにならんでいない |
|---|---|
| 診断名/主な症状 |
|
| 年齢 |
30代女性 |
| 治療内容 |
口腔内をアイテロでスキャニングし、インビザラインの設計をいたします。 |
| 治療期間・回数 |
約2年・24〜36回 |
| 治療費 |
検査代 33,000円 ※税込表記となります。 |
担当医の指示に従いただしくマースピースを装着しないと、歯がきれいに並ばないことがあること、歯や歯根を痛める可能性があります。
また保定装置をつけないとあと戻りする可能性があります。
医療法人社団優典会
イルニード総合歯科・矯正歯科グループ

⼀之江駅前イルニード⻭科 本院
8歳以下のお子さんはお隣のイルニードキッズデンタル(分院)での
ご予約をおすすめします。

⼀之江駅前イルニード⻭科 EAST

