業者様専用お問い合わせ
患者様向けの連絡先からの業者様の営業電話は、大変申し訳ありませんが、医療サービス向上のため、すべて断りするようにしております。
業者様からのお問い合わせは、「業者様専用お問い合わせフォーム」をご利用くださいますと最短で事務長もしくは理事長と連絡が取り交渉することが可能ですので是非ご利用ください。
*返信には1日~10日ほどかかる場合がございます。
ご予約お問い合わせ

⼀之江駅前イルニード⻭科
本院
急患枠を設けておりますので
お電話にてご確認ください
簡単24時間
初診・再診予約OK


⼀之江駅前イルニード⻭科 EAST
イルニードキッズデンタル
急患枠を設けておりますので
お電話にてご確認ください
簡単24時間
初診・再診予約OK
はじめてご来院される方は、こちらをご覧ください。
ご予約お問い合わせ

⼀之江駅前イルニード⻭科
本院
急患枠を設けておりますので
お電話にてご確認ください
簡単24時間
初診・再診予約OK


⼀之江駅前イルニード⻭科 EAST
イルニードキッズデンタル
急患枠を設けておりますので
お電話にてご確認ください
簡単24時間
初診・再診予約OK
はじめてご来院される方は、こちらをご覧ください。
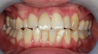
セラミック治療
右上1の歯をオールセラミックに変えたケースです。自然に作成できたともいます。前歯のクラウンはプレミアムオールセラミッククラウンに限ります。
| 主訴 |
前歯の色が気になる |
|---|---|
| 診断名/主な症状 |
|
| 年齢 |
|
| 治療内容 |
歯根の治療をやり直した後、セラミックの新しい被せ物を装着しました。 |
| 治療期間・回数 |
約3ヵ月・3〜10回 |
| 治療費 |
プレミアムオールセラミッククラウン1本 154,000円 *税込表記となります。 |
クラウンや歯根が割れる可能性があります。
医療法人社団優典会
イルニード総合歯科・矯正歯科グループ

⼀之江駅前イルニード⻭科 本院
8歳以下のお子さんはお隣のイルニードキッズデンタル(分院)での
ご予約をおすすめします。

⼀之江駅前イルニード⻭科 EAST

