業者様専用お問い合わせ
患者様向けの連絡先からの業者様の営業電話は、大変申し訳ありませんが、医療サービス向上のため、すべて断りするようにしております。
業者様からのお問い合わせは、「業者様専用お問い合わせフォーム」をご利用くださいますと最短で事務長もしくは理事長と連絡が取り交渉することが可能ですので是非ご利用ください。
*返信には1日~10日ほどかかる場合がございます。
ご予約お問い合わせ

⼀之江駅前イルニード⻭科
本院
急患枠を設けておりますので
お電話にてご確認ください
簡単24時間
初診・再診予約OK


⼀之江駅前イルニード⻭科 EAST
イルニードキッズデンタル
急患枠を設けておりますので
お電話にてご確認ください
簡単24時間
初診・再診予約OK
はじめてご来院される方は、こちらをご覧ください。
ご予約お問い合わせ

⼀之江駅前イルニード⻭科
本院
急患枠を設けておりますので
お電話にてご確認ください
簡単24時間
初診・再診予約OK


⼀之江駅前イルニード⻭科 EAST
イルニードキッズデンタル
急患枠を設けておりますので
お電話にてご確認ください
簡単24時間
初診・再診予約OK
はじめてご来院される方は、こちらをご覧ください。
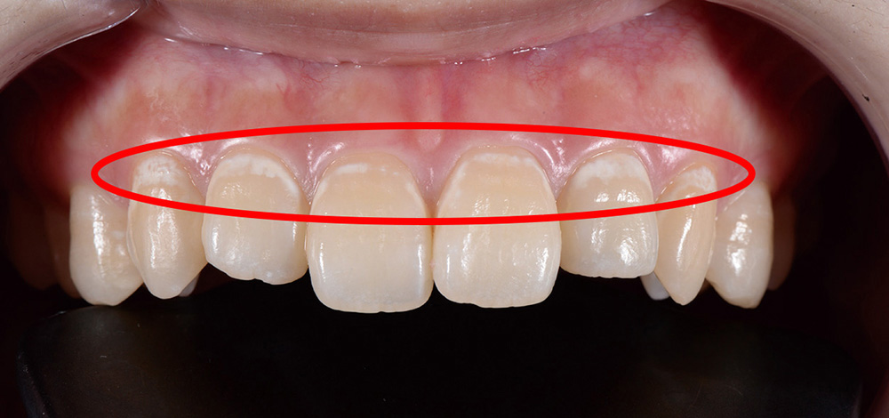
前歯の白い斑点「ホワイトスポット」は削らずに治せます
~最新治療「アイコン(Icon)」について~
こちらの白い斑点(ホワイトスポット)
「痛みなし」「麻酔なし」「削らない」「短時間」でなおせます。
鏡を見たとき、前歯にある「白いシミ」や「斑点」が気になったことはありませんか?
これは**「ホワイトスポット」**と呼ばれるもので、歯磨きでは取ることができず、長年コンプレックスに感じて大きく口を開けて笑えないという患者様も少なくありません。
これまで、この白い斑点を消すためには「歯を削って詰め物をする(歯を削ってプラスチックをつめたりやラミネートベニアしか方法がないと言われることが一般的でした。
当院ではドリルで歯を削ることなくホワイトスポットを目立たなくさせる新しい治療法**「アイコン(Icon)」**を導入いたしました。

1. 健全歯質を削らなくてすみます
エナメル質を保存できるため、歯の寿命を縮める心配がありません。
2. 痛みや不快感がほとんどない
歯を削らないため、麻酔の必要もありません。ドリル特有の音や振動が苦手な方でも安心して受けていただけます。
3. エナメル質の強化・虫歯予防
液状の樹脂が内部深くの多孔質構造まで浸透し、硬化することでエナメル質が補強されます。これにより酸に対する抵抗性が高まり、虫歯の進行や再発を防ぐ効果も期待できます。
4. 短時間で治療終了
来院1回で1本40分程度で終了します。

1. 完全に白さが消えない場合があります。
ホワイトスポットの「深さ」が非常に深い場合や、重度のエナメル質形成不全の場合、アイコンの液が深部まで届ききらず、白濁が完全には消失しない(薄く残る)ことがあります。(治療前よりは目立たなくなります。)
2. ホワイトニングは処置前がお勧め。
ホワイトニングをご希望の場合は「治療前」にアイコンで浸透させた樹脂(プラスチック素材)は、ホワイトニングのお薬では白くなりません。もしホワイトニングも検討されている場合は、先にホワイトニングで全体の歯の色を明るくしてから、 その色に合わせてアイコン治療を行うことを推奨しています。
3. 穴が開いている虫歯には使えません
アイコンはあくまで「表面が溶け出した初期段階(平らな状態)」に有効です。すでに実質的な穴が開いている場合は通常の虫歯治療を行います。
4. 長期的にみると変色のリスク
経年的な変色の可能性アイコンは変色しにくい材料ですが、通常のプラスチックの詰め物と同様に、長年の使用や食生活(コーヒー・ワイン・タバコ等)の影響で、わずかに着色する可能性があります。
当院でのホワイトスポット治療(アイコン)は、保険適用外(自費診療)となります。
金額
ホワイトスポット治療(アイコン)1本 44,000円(税込み)

ホワイトスポットができる原因は、主に「初期虫歯による脱灰」や「エナメル質形成不全」です。 一見、表面が白くなっているだけに見えますが、ミクロな視点で見ると、歯の表面(エナメル質)の内部からミネラル分が溶け出し、**内部がスカスカのスポンジ状(多孔質)**になってしまっています。
この「スカスカになった空洞」に空気や水分が入り込むことで、光が乱反射(散乱)を起こします。その結果、その部分だけが透明感を失い、白く濁って見えてしまうのです。
当院で導入している「アイコン(Icon)」は、ドイツのDMG社が開発した、ドリルを使わずにホワイトスポットを治療するための革新的な歯科材料です。
従来の治療が「悪い部分を削り取る」ものだとすれば、アイコンは**「スカスカになった部分に特殊な樹脂を浸透させて補強する」**治療法(レジン浸透法)です。
これには**「光の屈折率」**が関係しています。
健康なエナメル質: 光が透過するため、透明感があります。
ホワイトスポット: 内部の空洞にある空気や水の影響で、光の屈折率が変わり、白く浮いて見えます。
アイコン治療後: スカスカの空洞へ、健康なエナメル質と**「光の屈折率が極めて近い」**特殊な低粘度レジン(樹脂)を浸透させます。
これにより、光の透過性が健康な歯と同じ状態に戻り、視覚的にホワイトスポットが周囲の歯の色と同化して、見分けがつかなくなるのです。

歯の表面の汚れを落とし、専用の薬剤で表面処理を行います。
初診でご来院した場合は、当日は診査診断になります。
(初診時当日にアイコン治療をお受けになることはできかねます)

ここが重要な工程です。アイコン・ドライという処理を行い、水分を完全に飛ばします。この段階で一時的にホワイトスポットが消えて見える現象(プレビュー)を確認します。

特殊な低粘度レジンを塗布し、数分間かけて内部の微細な穴の奥深くまで浸透させます。
注意点
はじめてご来院される方は、こちらをご覧ください。
医療法人社団優典会
イルニード総合歯科・矯正歯科グループ

⼀之江駅前イルニード⻭科 本院
8歳以下のお子さんはお隣のイルニードキッズデンタル(分院)での
ご予約をおすすめします。

⼀之江駅前イルニード⻭科 EAST

