
※当ページのリンクには広告が含まれています。
ザ・ホワイトデンタルクリニックは、全国に8院ある大手の歯科医院です。
通ってみたい方もたくさんいらっしゃると思いますが、こちらのような疑問をお持ちかもしれません。

ザ・ホワイトデンタルクリニックの治療の料金が知りたい。

ザ・ホワイトデンタルクリニックではどんな治療でもできるの?

ザ・ホワイトデンタルクリニックのインプラント治療ってどんな流れで行うの?
この記事では、ザ・ホワイトデンタルクリニックの口コミ評判や料金などについて、詳しくご紹介しています。
ザ・ホワイトデンタルクリニックを検討中の方は参考にしてくださいね。
公式サイト:https://www.biyou-dental.com/
モニターでインプラント1本396,000円(税込)!
目次
ザ・ホワイトデンタルクリニックの基本情報

ザ・ホワイトデンタルクリニックの基本情報をご紹介します。
カウセリングは無料なので気軽に相談してみましょう。
| 取り扱いメニュー | ・インプラント ・虫歯治療(ブリッジ・入れ歯) ・歯周病治療 ・歯列矯正(ワイヤー矯正・マウスピース矯正) ・りんかく形成 ・ラミネートベニア ・セラミッククラウン法 ・デンタルエステ ・ホワイトニング |
| 予約方法 | 電話:08008143645 Web予約 |
| 支払方法 | 現金・クレジットカード・医療ローン |
| グループ院の場所 | ■池袋院 〒171-0022 東京都豊島区南池袋2丁目26-6 島倉ビル3階 池袋駅より徒歩5分 ■新宿院 〒160-0022 東京都新宿区新宿3丁目33-10 新宿モリエールビル5階 JR新宿駅より徒歩5分 ■品川院 〒108-0074 東京都港区高輪4丁目24-58 サマセット品川東京2階 品川駅より徒歩5分 ■船橋院 〒273-0005 千葉県船橋市本町4丁目40-23 SADOYA SOUTHERN TERRACE 7階 船橋駅より徒歩4分 ■横浜院 〒220-0004 神奈川県横浜市西区北幸2丁目10-40 横浜西口TYビル 3階 横浜駅より徒歩7分 ■名古屋院 〒460-0008 愛知県名古屋市中区錦3丁目11-29 カガミビル 301 伏見駅より徒歩8分 ■大阪院 〒530-0001 大阪府大阪市北区梅田1丁目11-4 大阪駅前第4ビル 6階 JR大阪駅より徒歩3分 ■福岡院 〒810-0041 福岡県福岡市中央区大名1丁目15-35 FPG links DAIMYO Ⅲ 7階 地下鉄天神駅より徒歩3分 |
| 診療時間 | 10:00〜19:00 |
| 初診料 | 初診料・カウンセリング料 無料 |
| 治療期間 | ・インプラント:上顎6ヶ月〜、下顎3ヶ月〜 ・虫歯治療(ブリッジ・入れ歯):約1ヶ月 ・歯周病治療:症例による ・歯列矯正 ワイヤー矯正:1〜3年 マウスピース矯正:6ヶ月〜2年 ・りんかく形成:1泊入院 ・ラミネートベニア:2回〜 ・セラミックククラウン法:2〜3ヶ月 ・デンタルエステ:1回〜 ・ホワイトニング:1〜2週間 |
| 通院頻度 | ・インプラント メンテナンス:半年〜1年に1回 ・虫歯治療(ブリッジ・入れ歯):週1回 ・歯周病治療:週1回 ・歯列矯正 ワイヤー矯正:月1回 マウスピース矯正:1〜3ヶ月に1回 ・りんかく形成 3日後、1週、2週、1ヶ月、2ヶ月、3ヶ月おきに1回 ・ラミネートベニア:週1回 ・セラミッククラウン法:週1回 ・デンタルエステ:週1回 ・ホワイトニング:週1回 |
| 問い合わせ先 | 0800-81-9308 9:00〜20:00 |
| 公式サイト | 公式サイト |
公式サイト:https://www.biyou-dental.com/
モニターでインプラント1本396,000円(税込)
ザ・ホワイトデンタルクリニックの治療内容

ザ・ホワイトデンタルクリニックはインプラントをはじめ、虫歯・歯周病治療、ホワイトニングなど歯科診療全般を行っている歯科医院です。
すべての治療を自費診療で行っており、保険診療と違い複数の歯を同時に治療できるため、通院回数を減らすことができます。
6ヶ月に1回の定期健診もあり、アフターケアも万全です。
また、静脈内鎮静法で寝ている間に治療できるので、歯科恐怖症や嘔吐反射がある方でも安心して通っていただけます。
虫歯治療

自費診療では1回で複数の歯を同時に治療してもらえるので、治療回数が減り、忙しい人におすすめです。
虫歯治療が怖くても、寝ている間に治療を終えることができる静脈内鎮静法を実施しているので、気になる方は相談してみてください。
治療法はブリッジや入れ歯はもちろん、美しい仕上がりのセラミッククラウンも可能です。
セラミッククラウン法の被せ物は、金属を一切使わず白い陶材を使うので、まるで天然歯のような美しい仕上がりになります。
ホワイトニング

ザ・ホワイトデンタルクリニックはホワイトニングやデンタルエステにも力を入れています。
ザ・ホワイトデンタルクリニックのホワイトニングのメニューはこちらです。
- オフィスホワイトニング
- ホームホワイトニング
- ウォーキングブリーチ
- 歯肉ピーリング
- デンタルエステ
- ラミネートベニア
ホワイトニングはもちろん、デンタルエステで歯の表面をキレイにしたり、ラミネートベニアで歯の表面に薄いセラミックを貼り付けたり、歯肉ピーリングで歯肉の黒ずみをなくすことができます。
ブライダルホワイトニングも実施しているので、予定がある方は早めに相談しましょう。
歯列矯正

ザ・ホワイトデンタルクリニックの歯列矯正メニューはこちらです。
- ワイヤー矯正
- マウスピース矯正
- セラミッククラウン法
- りんかく形成
ワイヤー矯正やマウスピース矯正で歯並びをキレイに整えることができます。
セラミッククラウン法は、天然歯のようなセラミックの被せ物で歯並びを整える方法で、短期間ですむのが特長です。
骨格からの矯正治療が必要な方は、りんかく形成で骨切り手術を行う方法があります。
りんかく形成は1泊入院の手術が必要ですが、出っ歯・受け口・ガミースマイルなど、1日でりんかくを整えることができます。
インプラント

インプラントは天然歯のような見た目、噛み応えを再現できる治療法です。
手術は必要ですが、入院も必要なく短時間で終わります。
インプラントは、入れ歯のような違和感もなく、ブリッジのように周囲の歯に負担を与えることもない、メリットの多い治療法です。
ザ・ホワイトデンタルクリニックの料金メニュー

ザ・ホワイトデンタルクリニックはほとんどが自由診療です。
無料カウンセリングではレントゲン検査や費用のお見積りをしてもらえるので、検討している方は相談してみましょう。
虫歯治療の料金
ザ・ホワイトデンタルクリニックの虫歯治療の料金はこちらです。
こちらは全て自由診療の料金で、金属を使わず、まるで天然歯のように白い被せ物や詰め物を使っています。
| 治療法 | 料金(税込) |
| オールセラミッククラウン | 1本 165,000円 ※モニター価格 1本 132,000円 |
| カスタムジルコニア | 1本 132,000円 ※モニター価格 1本 92,400円 |
| スタンダードジルコニア | 1本 110,000円 ※モニター価格 1本 88,000円 |
| セラミックインレー | 1本 66,000円 |
| ハイブリッドセラミックインレー | 1本 44,000円 |
| レジン充てん | 11,000円 |
| すきっ歯レジン充填法 | 1本 33,000円 |
ホワイトニングの料金
ザ・ホワイトデンタルクリニックのホワイトニングやデンタルエステの料金はこちらです。
ホワイトニングの他に、歯の表面にセラミックを張り付けて白くするラミネートベニアや、歯の表面をキレイにするデンタルエステ、歯肉の黒ずみをなくす歯肉ピーリングの治療があります。
| 治療法 | 料金(税込) | |
| ホワイトニング | ホームホワイトニング(マウスピース+お薬) | 55,000円 ※モニター価格1本 33,000円 |
| オフィスホワイトニング | 132,000円 | |
| 追加ジェル(2本) | 3,300円 | |
| 歯肉漂白・歯肉ピーリング/片顎 | 33,000円 | |
| ラミネートベニア | ノーマルラミネート | 1本 132,000円 |
| エグゼクティブラミネート | 1本 198,000円 | |
| オーダーメイドラミネート | 1本 220,000円 | |
| デンタルエステ | 1回 16,500円 | |
| 歯肉ピーリング | 歯肉漂白・歯肉ピーリング/片顎 | 33,000円 |
歯列矯正の料金
歯列矯正の料金メニューはこちらです。
ザ・ホワイトデンタルクリニックの歯列矯正はワイヤー矯正やマウスピース矯正、セラミッククラウン法などがあります。
治療法ごとに特徴が異なり、目的に合った矯正治療を選んでもらえます。
| 治療法 | 料金(税込) | |
| 歯列矯正 | M.T.M | 330,000円 |
| 唇側矯正 | 1,100,000円 | |
| ワイヤー矯正検査代 | 1回 3,300円 | |
| マウスピース矯正 | インビザライン | 880,000円 |
| クリアコレクト | 550,000円 | |
| インビザラインGO | 440,000円 モニター価格 385,000円 | |
| セラミッククラウン法 | オールセラミック | 1本 165,000円 モニター価格 1本 132,000円 |
| カスタムジルコニア | 1本 132,000円 モニター価格 1本 92,400円 | |
| スタンダードジルコニア | 1本 110,000円 モニター価格1本 88,000円 | |
| りんかく形成 | 上顎骨切り | 1,980,000円 ※2 |
| 下顎骨切り | 1,650,000円 ※2 | |
| 顎中抜き | 880,000円 ※2 | |
| 顎中抜き(骨切りと同時手術の場合) | 骨切りの料金 +330,000円 |
インプラントの料金
ザ・ホワイトデンタルクリニックのインプラントの料金はこちらです。
インプラント治療に必要な材料が全て含まれているお得なインプラント治療基本セットが、モニター価格1本396,000円(税込)です。
こちらのセットには、インプラント本体、土台となるアバットメント、被せ物である上部構造として高品質なジルコニアが含まれています。
| 治療法 | 料金(税込) |
| インプラント治療基本セット | モニター価格 1本 396,000円 |
| インプラント本体のみ | 1本 220,000円 |
| 上部構造(セラミック) | 1本 220,000円 |
| 骨造成手術(GBR法) | 220,000円 |
| インプラントブリッジのダミー | 165,000円 |
| サージカルガイド | 55,000円 |
| サイナスリフト | 330,000円(原則) |
| 定期検査 | 3,300円 |
公式サイト:https://www.biyou-dental.com/
モニター料金でインプラント1本396,000円(税込)!
ザ・ホワイトデンタルクリニックのインプラント治療の症例
ザ・ホワイトデンタルクリニックでの治療を検討したとき、実際にどのような変化があるのかは気になるポイントですよね。
そこで、ここではザ・ホワイトデンタルクリニックで実際にインプラント治療を受けた方の治療前後のビフォアフターを写真でご紹介します。
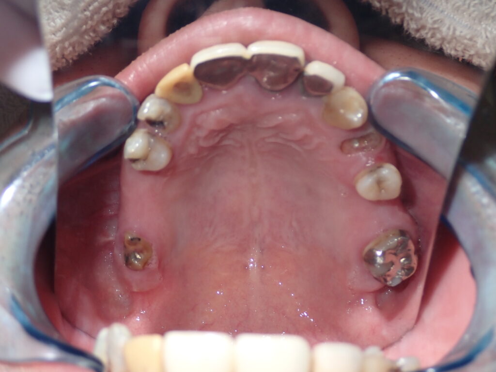
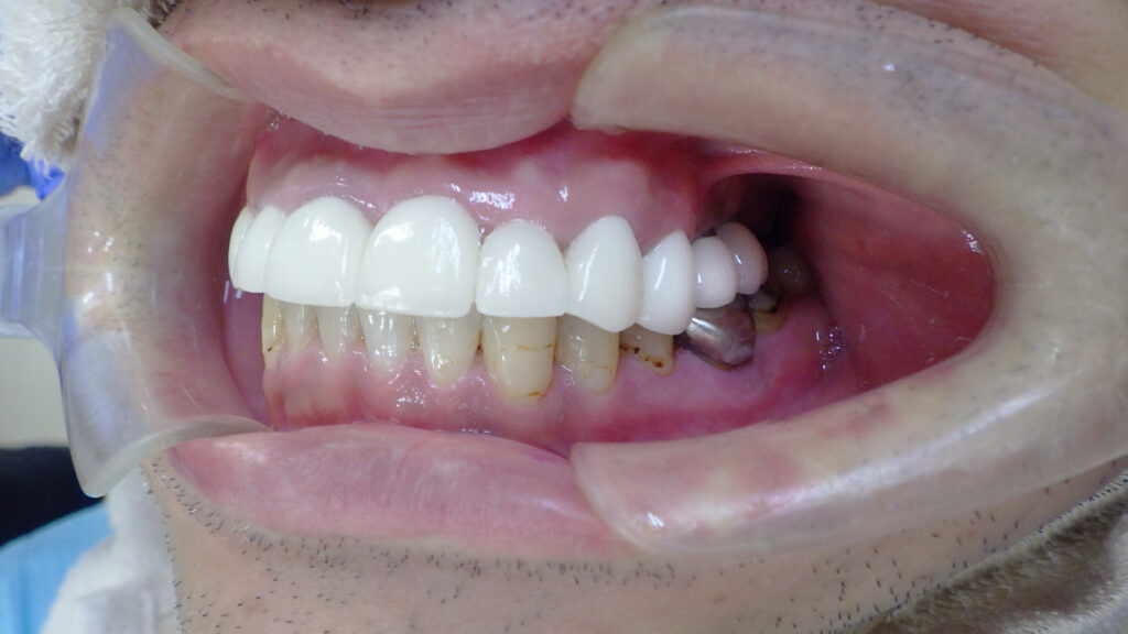
40代男性の患者の症例です。
【治療前の写真】



【治療後の写真】



- 治療内容:インプラント治療 (3本) セラミック(9本)
- 追加施術:なし
- 治療期間:8ヶ月
- 金額:インプラント治療基本セット396,000円(税込)、インプラント1本220,000円(税込)、セラミック1本88,000円(税込)
- 副作用・リスク:術後の痛み・腫れ、細菌感染によるインプラント周囲炎、骨との結合不全
※効果には個人差があります。
ザ・ホワイトデンタルクリニックのインプラント治療の流れ

ザ・ホワイトデンタルクリニックのインプラント治療の流れをご紹介します。
通院期間は、一般的には3~6ヶ月ですが、口腔内の状態によって異なります。
自然な咀嚼機能を取り戻し、日常生活に復帰されるまでの治療プロセスを、こちらではご紹介するので参考にしてくださいね。

①専門医による初回相談
初回には、カウンセリングやレントゲンなどの口腔内診査を行い、最適な治療方針を提案してもらえます。

②精密診断とガイド製作
レントゲン検査やCT検査により、口腔内の画像を3次元的に作成し、より安全で精密な治療計画を立案します。

③インプラント埋入手術
顎の骨にインプラントを埋入する手術を行います。
手術時間は約20分ですが、麻酔等の準備を含めて来院から帰院まで約2時間要します。

④術後経過確認と抜糸
手術から7〜10日後に切開部位の治癒状況を確認し、良好であれば抜糸を行います。

⑤治癒期間と仮歯での生活
インプラント体と骨の結合を待つ期間として、上顎では6ヶ月、下顎で3ヶ月を要します。
その期間中は、仮歯を装着してもらえるので、歯のない状態になることはありません。

⑥型取りまたは口腔内スキャニング
最終的な人工歯を作るために精密な型取り、またはデジタルスキャニングを行います。
咬合状態や審美的要求に応じた上部構造である人工歯を設計・製作します。

⑦最終的な人工歯装着と治療完了
製作された上部構造をインプラント体に装着し、咬合調整を行います。
以上で治療完了です。
ザ・ホワイトデンタルクリニックに関するよくある質問

ザ・ホワイトデンタルクリニックに関するよくある質問をまとめました。
ザ・ホワイトデンタルクリニックでの治療を検討している方は参考にしてください。
Q1. ザ・ホワイトデンタルクリニックのカウンセリング料金はいくらですか?

ザ・ホワイトデンタルクリニックは、歯科医師によるカウンセリングが無料です。
無料カウンセリングの時に、レントゲン検査や料金のお見積りなども同時に行えるので、相談してみましょう。
Q2. ザ・ホワイトデンタルクリニックのインプラントのトータル費用はいくらですか?

ザ・ホワイトデンタルクリニックのインプラントのトータルの費用はモニター価格で1本396,000円(税込)です。
この費用には、インプラント本体、土台となるアバットメント、被せ物である上部構造として高品質なジルコニアが含まれています。
モニターの条件があるので、治療前に確認しましょう。
Q3. ザ・ホワイトデンタルクリニックのホワイトニングは歯に悪いですか?

ザ・ホワイトデンタルクリニックのホワイトニングは歯に悪くありません。
ホワイトニングに使用する薬剤は過酸化尿素で、安全性が様々な研究で証明されており、副作用はほとんどないのでご安心ください。
痛みもほとんど感じることはありませんが、まれにしみることがあり、その場合は、痛まないように薬を調節します。
Q4. ザ・ホワイトデンタルクリニックの治療は保険適用になりますか?

ザ・ホワイトデンタルクリニックの治療は、すべて自由診療となります。
自由診療だからこそ、複数の歯を一度にまとめて治療することや、静脈麻酔を使用して寝ている間に治療を受けることも可能です。
「何度も通院するのが難しい方」や「歯科治療に不安がある方」にも配慮した治療が選べます。
また、医療ローンの利用により最大120回払いも可能なため、費用面についても無理のない範囲でご相談いただけます。
Q5. ザ・ホワイトデンタルクリニックはLINE登録でお得になりますか?

ザ・ホワイトデンタルクリニックのLINEでは無料相談ができたり、お得なモニター情報やクーポンを配布しています。
こちらからLINEの友だち追加をしてみましょう。
公式サイト:https://www.biyou-dental.com/
モニター料金でインプラント1本396,000円(税込)!

















